Close Menu
  • Breaking News
  • Business
  • Career
  • Sports
  • Climate
  • Science
    • Tech
  • Culture
  • Health
  • Lifestyle
  • Facebook
  • Instagram
  • TikTok
Categories
  • Breaking News (5,117)
  • Business (314)
  • Career (4,344)
  • Climate (214)
  • Culture (4,310)
  • Education (4,528)
  • Finance (205)
  • Health (861)
  • Lifestyle (4,195)
  • Science (4,214)
  • Sports (334)
  • Tech (175)
  • Uncategorized (1)
Hand Picked

Newcomers elected for CMS Board of Education, districts to get new representation – WSOC TV

November 5, 2025

Missing California hunter found alive after 3 weeks in wilderness

November 5, 2025

UC co-op student offered full-time job before graduation

November 5, 2025

BBC has questions to answer over edited Trump speech on Panorama, MPs say

November 5, 2025
Facebook X (Twitter) Instagram
  • About us
  • Contact us
  • Disclaimer
  • Privacy Policy
  • Terms and services
Facebook X (Twitter) Instagram
onlyfacts24
  • Breaking News

    Missing California hunter found alive after 3 weeks in wilderness

    November 5, 2025

    Israeli army, settlers strike 2,350 times in West Bank last month: Report | Israel-Palestine conflict News

    November 5, 2025

    Wegovy, Ozempic maker Novo Nordisk Q3 earnings; shares fall 4%

    November 5, 2025

    Virginia Lt. Gov. Earle-Sears concedes, says she’s ‘not going anywhere’

    November 5, 2025

    US kills two more people in latest strike on vessel in the Pacific | Donald Trump News

    November 5, 2025
  • Business

    SAP Concur Global Business Travel Survey in 2025

    November 4, 2025

    Global Topic: Panasonic’s environmental solutions in China—building a sustainable business model | Business Solutions | Products & Solutions | Topics

    October 29, 2025

    Google Business Profile New Report Negative Review Extortion Scams

    October 23, 2025

    Land Topic is Everybody’s Business

    October 20, 2025

    Global Topic: Air India selects Panasonic Avionics’ Astrova for 34 widebody aircraft | Business Solutions | Products & Solutions | Topics

    October 19, 2025
  • Career

    UC co-op student offered full-time job before graduation

    November 5, 2025

    Maria Gutierrez Honored with 2025 Illinois Career Development Association Advocacy Award

    November 5, 2025

    Dighton-Rehoboth wins STEM grant for health career pathway

    November 5, 2025

    From Ice Rinks to City Halls, Career Day Inspires Students to Rethink Public Service

    November 5, 2025

    News and Community

    November 5, 2025
  • Sports

    Bozeman Daily ChronicleThunder guard Nikola Topic diagnosed with testicular cancer and undergoing chemotherapyOKLAHOMA CITY (AP) — Oklahoma City Thunder guard Nikola Topic has been diagnosed with testicular cancer and is undergoing chemotherapy..3 days ago

    November 3, 2025

    Thunder guard Nikola Topić diagnosed with testicular cancer, will undergo chemotherapy

    November 3, 2025

    Thunder guard Nikola Topic diagnosed with testicular cancer and undergoing chemotherapy | Sports

    November 2, 2025

    Thunder guard Nikola Topic diagnosed with testicular cancer and undergoing chemotherapy | Sports

    November 2, 2025

    Oklahoma City Thunder guard Nikola Topic undergoing chemotherapy for cancer

    November 1, 2025
  • Climate

    Climate-Resilient Irrigation

    October 31, 2025

    PA Environment & Energy Articles & NewsClips By Topic

    October 26, 2025

    important environmental topics 2024| Statista

    October 21, 2025

    World BankDevelopment TopicsProvide sustainable food systems, water, and economies for healthy people and a healthy planet. Agriculture · Agribusiness and Value Chains · Climate-Smart….2 days ago

    October 20, 2025

    PA Environment & Energy Articles & NewsClips By Topic

    October 17, 2025
  • Science
    1. Tech
    2. View All

    Google to add ‘What People Suggest’ in when users will search these topics

    November 1, 2025

    It is a hot topic as Grok and DeepSeek overwhelmed big tech AI models such as ChatGPT and Gemini in ..

    October 24, 2025

    Countdown to the Tech.eu Summit London 2025: Key Topics, Speakers, and Opportunities

    October 23, 2025

    The High-Tech Agenda of the German government

    October 20, 2025

    Think melatonin is safe? New research reveals a hidden heart risk

    November 5, 2025

    Insuring the future: The insurance industry’s role in climate change mitigation

    November 5, 2025

    2.7-million-year-old tools reveal humanity’s first great innovation

    November 5, 2025

    TAPintoYou might be reading your dog’s moods wrongMany dog owners can tell how their precious pooch is feeling, watching it wag its tail or raise its ears — at least, they think they can..3 hours ago

    November 5, 2025
  • Culture

    BBC has questions to answer over edited Trump speech on Panorama, MPs say

    November 5, 2025

    A cultural revolution? Trump’s America feels oddly familiar to those watching from China | US news

    November 5, 2025

    Moravida honors departed loved ones, celebrates Hispanic culture

    November 5, 2025

    At Melwood, ‘psychological safety’ is the foundation of workplace culture

    November 5, 2025

    El Mundo AmericaCervantes Prize for Gonzalo Celorio, a patriot of Hispanic cultureThe Mexican writer Gonzalo Celorio, director of the Mexican Academy of the Spanish Language, is the new Cervantes Prize winner,….4 hours ago

    November 5, 2025
  • Health

    Hot Topic: Public Health Programs & Policy in Challenging Times

    November 5, 2025

    Hot Topic: Public Health Programs & Policy in Challenging Times

    November 2, 2025

    Help us Rank the Top Ten Questions to Advance Women’s Health Innovation – 100 Questions Initiative – CEPS

    November 1, 2025

    World Mental Health Day 2025

    October 31, 2025

    Thunder GM Sam Presti shares gut-wrenching Nikola Topic health news

    October 30, 2025
  • Lifestyle
Contact
onlyfacts24
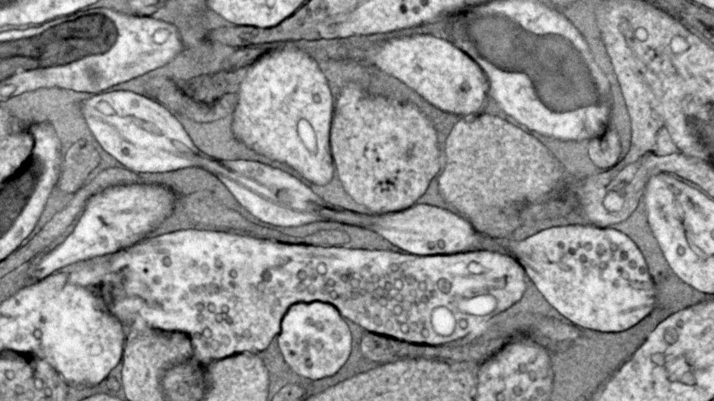
Home»Science»The message-sending part of neurons may be blobby, not smooth
Science

The message-sending part of neurons may be blobby, not smooth

December 17, 2024No Comments
Facebook Twitter Pinterest LinkedIn Tumblr Email
121024 Ls Axons Feat.jpg
Share
Facebook Twitter LinkedIn Pinterest Email

The ultrathin tendrils that zip messages around the nervous system are often drawn as smooth lines. But a new study adds some flourishes to that classical picture. Like a garland of cranberries hung on a Christmas tree, nerve fibers called axons may actually be a series of bumps, researchers suggest December 2 in Nature Neuroscience.

The claim is intriguing, but it’s too soon to redraw axons, says Pramod Pullarkat, a physicist who studies neuron structure at Raman Research Institute in Bengaluru, India. “I would not take this as an absolute fact yet,” he says. “But it is very much a possibility.”

Physicists who study fluids have known about this sort of pearls-on-a-string shape for a long time. Thin strands of fluids form beads when stretched, a phenomenon that can be spotted in viscous fluids like honey and aloe vera gel.

Beads have also been spotted on axons, which are in some ways like those liquids, with malleable internal and external parts. But the beaded structure hasn’t been systematically studied.

In the new work, researchers scrutinized axons from mouse brains. Scientists commonly use chemicals to preserve or “fix” cells so they can be studied further. But that method often changes the tissue’s shape, like desiccating a grape into a raisin, says Shigeki Watanabe, a cell biologist and neuroscientist at Johns Hopkins University School of Medicine. To see axons as they truly are, Watanabe and colleagues used a high-pressure freezing method instead. This sort of cryopreservation “is like making a frozen grape,” he says.

These frozen mouse axons were made of rotund blobs connected by thin tubes, electron microscope images revealed. The researchers did the experiments with a type of axon that isn’t wrapped in insulating material called myelin. Like a puffy coat, myelin covers some nerve fibers in the brain called white matter. Further unpublished experiments show a similar pearls-on-a-string structure on myelinated axons, Watanabe says. And his team has seen pearling in human axons.

Pullarkat points out that there are clear examples of smooth axons. “People have been looking at axons for a long time,” he says. Cells grown in dishes, for instance, usually have thick axons that look cylindrical unless they’re damaged. “But it is possible that a subset of axons have this pearl geometry even in normal conditions.”

These blobs — formally known as nanoscopic varicosities — form because of physical mechanics, Watanabe says. It takes less energy to make the blob structure than it does to make a cylinder, he says.

An axon’s shape influences how fast signals move along it, modeling experiments and experiments in mice axons suggest. And there are hints from the new study that signals moving along the axons influence the shape of the bumps, too.

But the matter isn’t settled. The freezing method could be distorting the axons somehow. “It’s possible that the technique is not there yet, to actually see things properly,” Watanabe says. “But I feel confident about what we observe.”

Watanabe and colleagues plan to study whether pearled axons are affected by sleep, a time when the mechanical environment changes in the brain. They’re also eager to study the shapes more by looking at axons inside living brains (SN: 11/9/17).

Pullarkat is happy to see the data, whether it turns out to be a general axon shape or a phenomenon that is more selective. “Sometimes it’s not easy to shake up an established fact, and people just sort of hesitate do it,” he says. In the case of the pearling axons, “there is good enough reason to think that maybe they are onto something which is real.”

So stay tuned — but don’t take a Sharpie to the axon drawing just yet.

Share. Facebook Twitter Pinterest LinkedIn Tumblr Email

Related Posts

Think melatonin is safe? New research reveals a hidden heart risk

November 5, 2025

Insuring the future: The insurance industry’s role in climate change mitigation

November 5, 2025

2.7-million-year-old tools reveal humanity’s first great innovation

November 5, 2025

TAPintoYou might be reading your dog’s moods wrongMany dog owners can tell how their precious pooch is feeling, watching it wag its tail or raise its ears — at least, they think they can..3 hours ago

November 5, 2025
Add A Comment
Leave A Reply Cancel Reply

Latest Posts

Newcomers elected for CMS Board of Education, districts to get new representation – WSOC TV

November 5, 2025

Missing California hunter found alive after 3 weeks in wilderness

November 5, 2025

UC co-op student offered full-time job before graduation

November 5, 2025

BBC has questions to answer over edited Trump speech on Panorama, MPs say

November 5, 2025
News
  • Breaking News (5,117)
  • Business (314)
  • Career (4,344)
  • Climate (214)
  • Culture (4,310)
  • Education (4,528)
  • Finance (205)
  • Health (861)
  • Lifestyle (4,195)
  • Science (4,214)
  • Sports (334)
  • Tech (175)
  • Uncategorized (1)

Subscribe to Updates

Get the latest news from onlyfacts24.

Follow Us
  • Facebook
  • Instagram
  • TikTok

Subscribe to Updates

Get the latest news from ONlyfacts24.

News
  • Breaking News (5,117)
  • Business (314)
  • Career (4,344)
  • Climate (214)
  • Culture (4,310)
  • Education (4,528)
  • Finance (205)
  • Health (861)
  • Lifestyle (4,195)
  • Science (4,214)
  • Sports (334)
  • Tech (175)
  • Uncategorized (1)
Facebook Instagram TikTok
  • About us
  • Contact us
  • Disclaimer
  • Privacy Policy
  • Terms and services
© 2025 Designed by onlyfacts24

Type above and press Enter to search. Press Esc to cancel.